- 症例01奥歯を失い歯並びが変わってきた
- 症例02咬み合わせが強く多くの
 歯がすぐに壊れる
- 症例03奥歯を失いよく噛めない
- 症例04入れ歯ではよく噛めない
- 症例05前歯が全体的にグラグラする
- 症例06入れ歯の取り外しが不便
- 症例07前歯に綺麗なインプラント治療を希望
- 症例08インプラントの難易度が高く、歯科医師の紹介で来院
- 症例09折れている歯を眠っている間に完全無痛でインプラントをして欲しい
- 症例10強度の肩こりと頭痛が改善
- 症例11なんでも食べられるようになりたい
- 症例12前歯が折れてしまった。
- 症例13入れ歯をやめて、強くしっかりと咬めるようになりたい
- 症例14歯周病で前歯がグラグラ揺れて困っている。
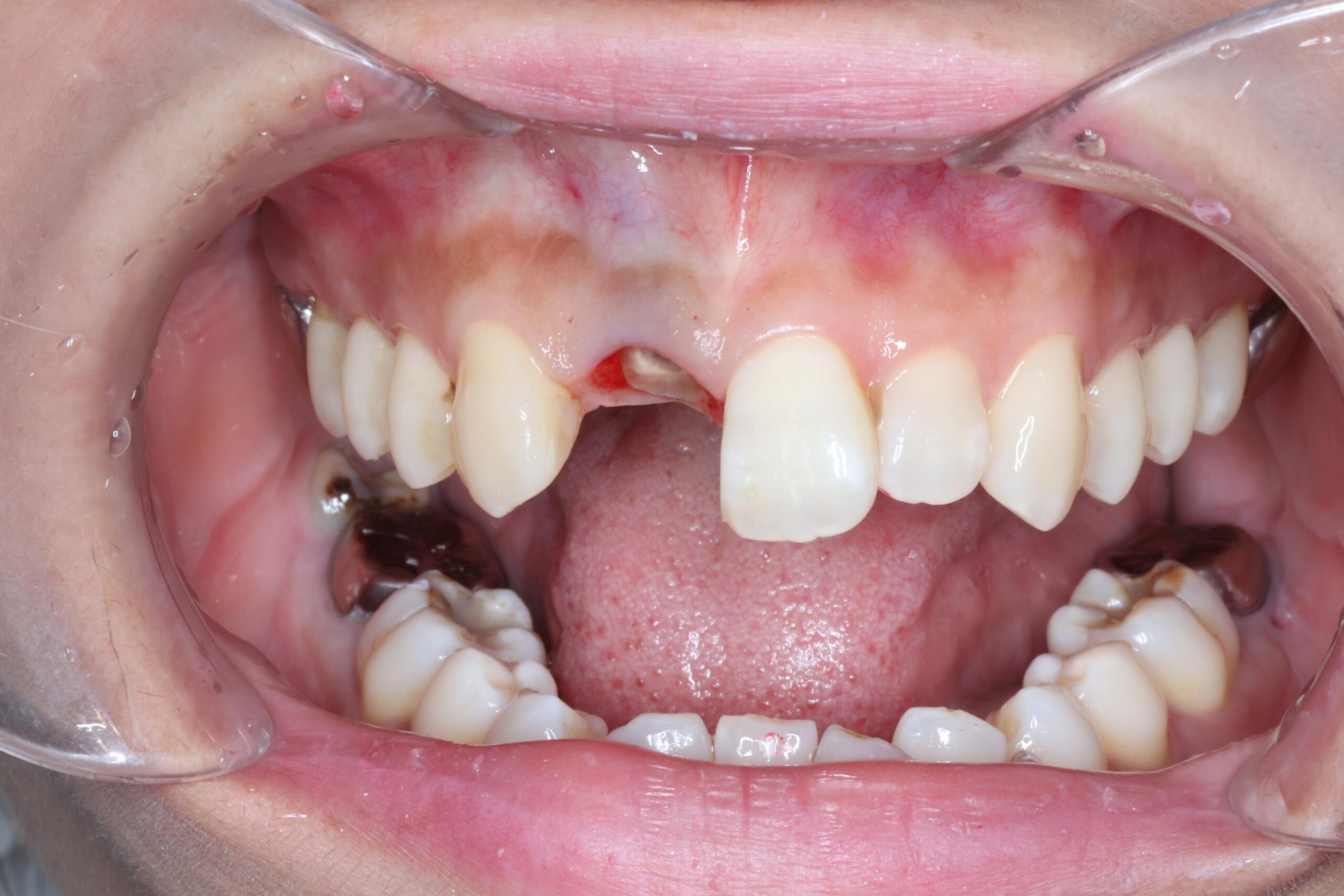
- 症例15前歯が根元から折れてしまった
- 症例16-
- 症例17前歯の被せ物の下が虫歯になっていて抜かなきゃいけないと言われた
症例01
30代 女性 奥歯を失い歯並びが変わってきた

術前レントゲン
 術後レントゲン
術後レントゲン






| 主訴 | 奥歯が咬めなくて前歯が出てきた。 奥歯を治療したあと、咬み合わせがもし落ち着いたら前歯も治療したい。 | 
|---|---|
| 年代・性別 | 30代 女性 | 
| 治療部位 | 下顎両側 67 | 
| 治療費用 | インプラント 420,000円×4本 静脈内鎮静法 75,000円×2回 | 
| 治療期間 | 10ヶ月 | 
症例02
70代 男性 咬み合わせが強く多くの歯がすぐに壊れる








| 主訴 | 咬み合わせが強く、治療をしてもつくった歯がすぐに壊れる。 他院ではインプラントをいれることも難しいため、断られた。 | 
|---|---|
| 年代・性別 | 70代 男性 | 
| 治療部位 | 下顎両側 5,6 上顎右側 4 6のインプラントブリッジ ※全顎的に、臨床的歯冠長延長術(クラウンレングスニング)を行い、セラミッククラウンの強度を増しています。 | 
| 治療費用 | インプラント 440,000円×6本 | 
| 手術回数 | 下顎1回 上顎1回 | 
| 治療期間 | 下顎6ヶ月 上顎6ヶ月 | 
| 手術時間 | 下顎90分 上顎60分 | 
| 治療回数 | 下顎1回 上顎1回 | 
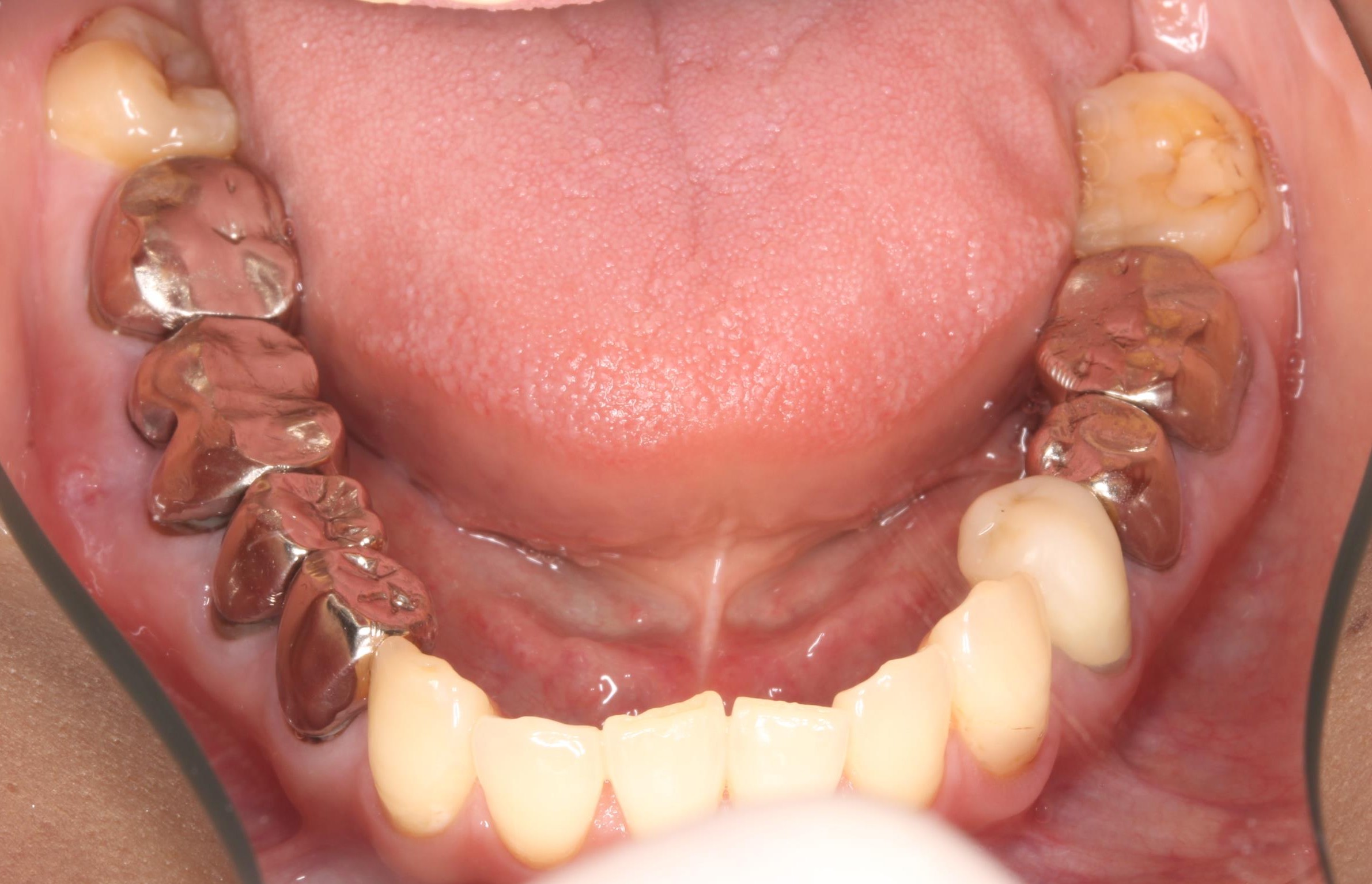
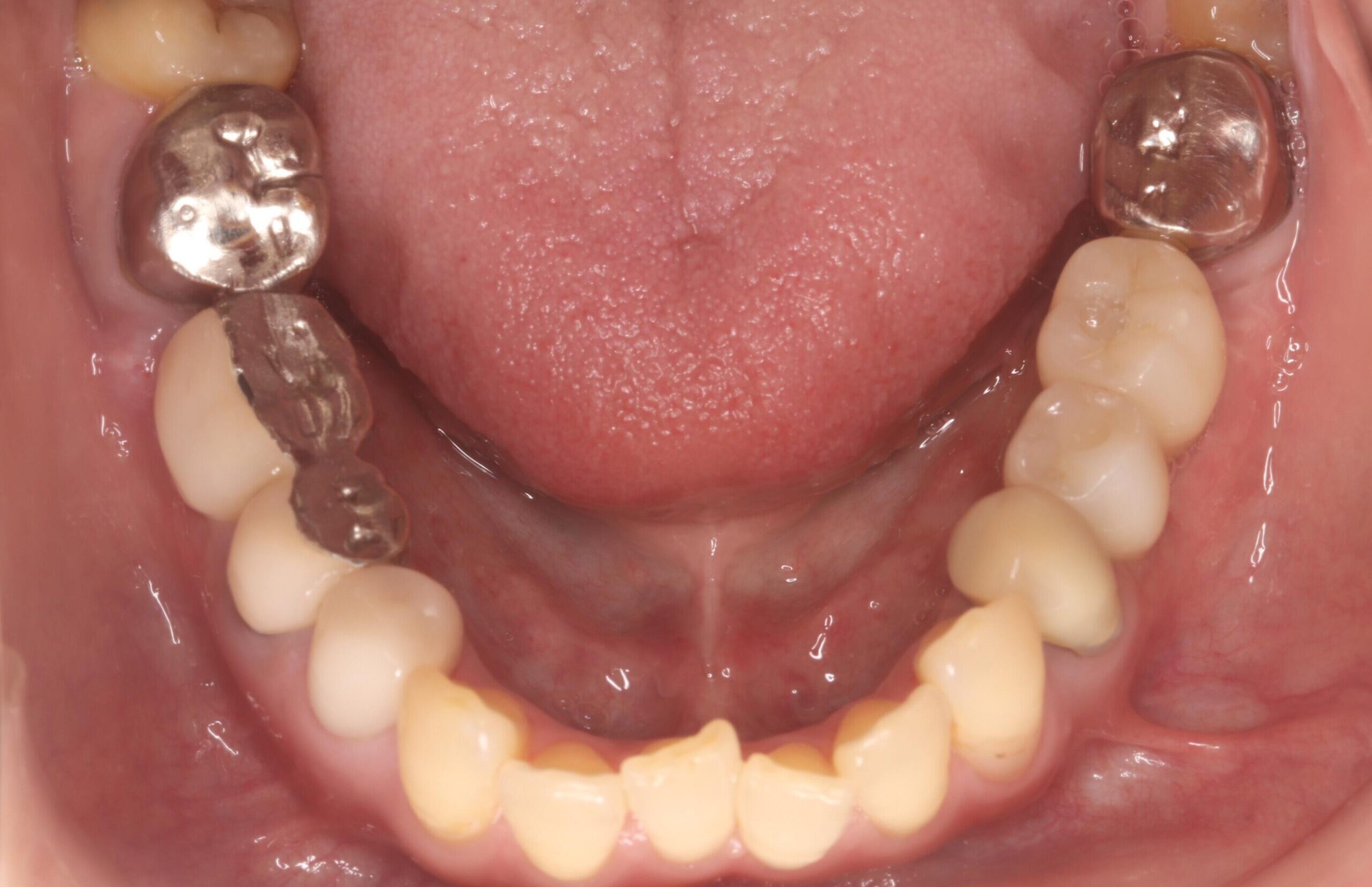
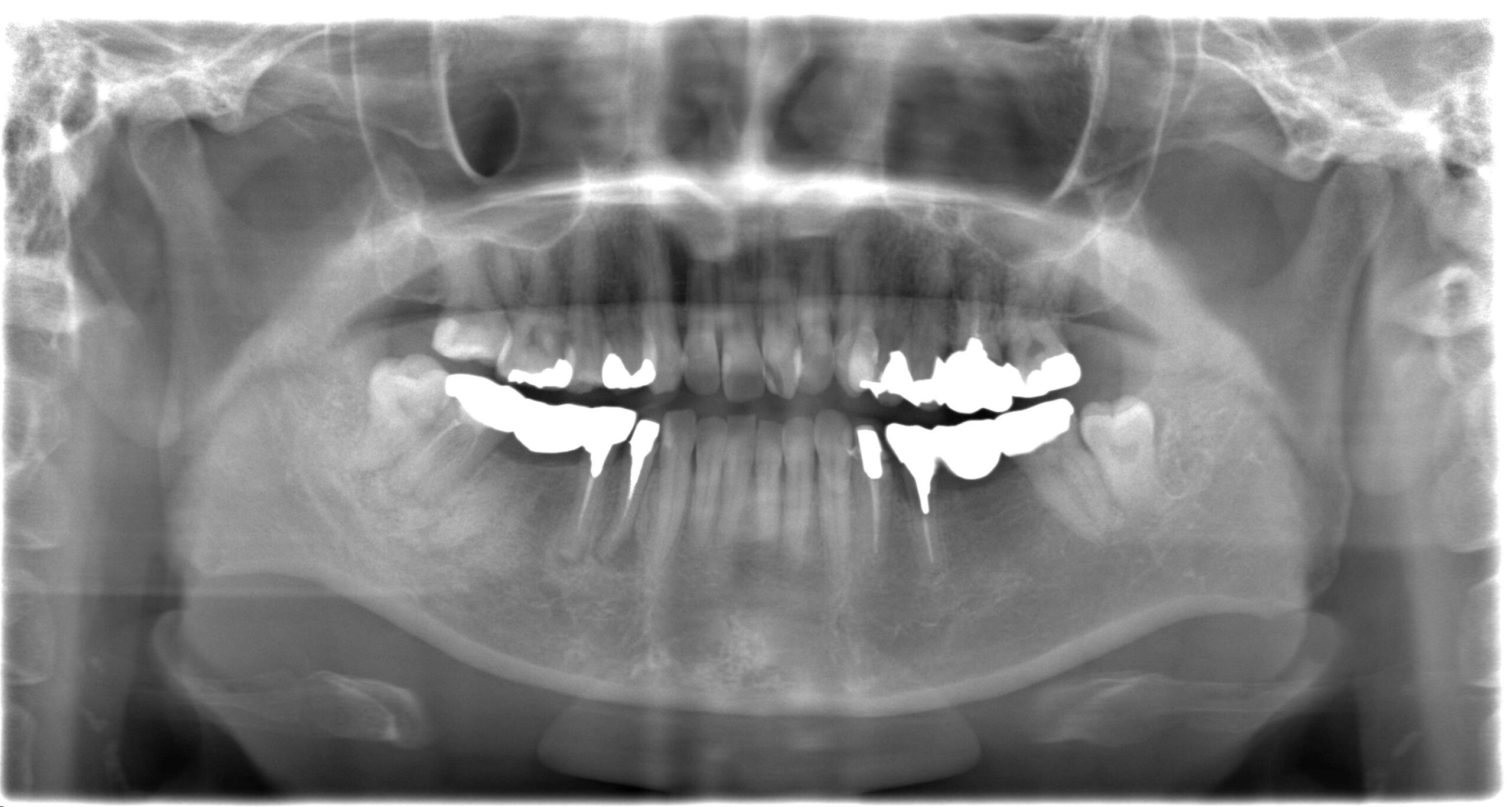
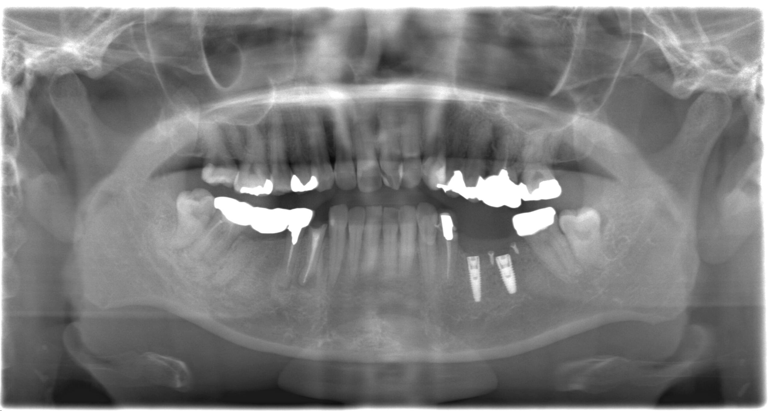
症例03
60代 女性 奥歯を失いよく噛めない
 術前レントゲン
術前レントゲン
 術後レントゲン
術後レントゲン
 治療前
治療前

 治療後
治療後
| 主訴 | 歯がないところをしっかりと治し、将来の不安をなくしていきたい。 | 
|---|---|
| 年代・性別 | 60代 女性 | 
| 治療部位 | 下顎5~6 | 
| 治療費用 | インプラント手術料 300,000円×2=600,000円 骨造成料 50,000円 筋肉内鎮静法 30,000円 セラミック上部 120,000円×2=240,000円 | 
| 手術回数 | 1回 | 
| 治療期間 | 3ヶ月 | 
| 手術時間 | 1時間 | 
| 治療回数 | 4回 | 
症例04
80代 女性 入れ歯ではよく噛めない
 治療前
治療前

治療後


| 主訴 | 入れ歯では、痛くて美味しくご飯が食べられない。 | 
|---|---|
| 年代・性別 | 80代 女性 | 
| 治療部位 | 下顎6~6 | 
| 治療費用 | インプラント手術料 300,000円×4=1,200,000円 | 
| 手術回数 | 1回 | 
| 治療期間 | 6ヶ月 | 
| 手術時間 | 4時間 | 
| 治療回数 | 7回 | 
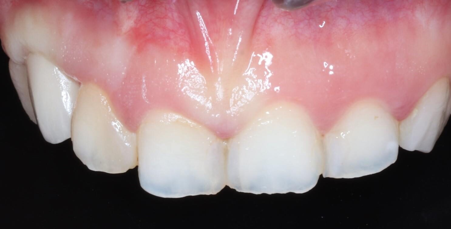
症例05
40代 女性 前歯が全体的にグラグラする
 治療前
治療前

 治療後
治療後

| 主訴 | 前歯のブリッジがグラグラになってきた。 インプラントを用いて安心して食べられる状態にしたい。 | 
|---|---|
| 年代・性別 | 40代 女性 | 
| 治療部位 | 上顎6~6 | 
| 治療費用 | インプラント手術料 300,000円×4=1,200,000円 | 
| 手術回数 | 2回 | 
| 治療期間 | 12ヶ月 | 
| 手術時間 | 2時間×2回 | 
| 治療回数 | 10回 | 
症例06
60代 男性 入れ歯の取り外しが不便
 治療前
治療前

 治療後
治療後
| 主訴 | 入れ歯の取り外しが面倒であり、食事の度にものがはさまる。 | 
|---|---|
| 年代・性別 | 60代・男性 | 
| 治療部位 | 上顎2~2 | 
| 治療費用 | インプラント手術料 300,000円×3=900,000円 当日即時荷重 50,000円×4=200,000円 筋肉内鎮静法 30,000円 セラミック上部 150,000円×4=600,000円 | 
| 手術回数 | 1回 | 
| 治療期間 | 6ヶ月 | 
| 手術時間 | 2時間 | 
| 治療回数 | 6回 | 
症例07
30代 男性 前歯に綺麗なインプラント治療を希望
 治療前
治療前
 治療後
治療後
 治療前リップ
治療前リップ
 治療後リップ
治療後リップ
 治療前レントゲン
治療前レントゲン
 治療後レントゲン
治療後レントゲン
| 主訴 | 前歯に綺麗なインプラント治療を希望。前歯のインプラントは難しいと言われていて、何軒か相談したが数年迷っていた。できれば治療はしたいが、問題なく綺麗にインプラントができるか相談したい。 | 
|---|---|
| 年代・性別 | 30代 男性 | 
| 治療部位 | 上顎左側 1 | 
| 治療費用 | インプラント手術料 300,000円 | 
| 手術回数 | 1回 | 
| 治療期間 | 3ヶ月 | 
| 手術時間 | 90分 | 
| 治療回数 | 4回 | 
症例08
70代 女性 インプラントの難易度が高く、歯科医師の紹介で来院
 治療前
治療前
 治療後
治療後
 治療前
治療前
 治療後
治療後
 治療前レントゲン
治療前レントゲン
 治療後レントゲン
治療後レントゲン

治療計画(シミュレーション)
| 主訴 | インプラントの難易度が高く、歯科医師の紹介で来院。部分入れ歯を使用、ついに入れ歯をひっかける歯が痛くなり、食事がまともにできない。通常のインプラント治療では、抜歯をしてから、総入れ歯を半年以上は入れないとできないと聞いた。歯医者の息子から、手術当日に咬める歯を入れられる先生がいると聞いた。 | 
|---|---|
| 年代・性別 | 70代 女性 | 
| 治療部位 | 上顎6~6 | 
| 治療費用 | インプラント手術料 300,000円×5本=1,500,000円 | 
| 手術回数 | 1回 | 
| 治療期間 | 6ヶ月 | 
| 手術時間 | 180分 | 
| 治療回数 | 8回 | 
症例09
60代 男性 折れている歯を眠っている間に完全無痛でインプラントをして欲しい
 歯根破折の確定診断
歯根破折の確定診断
 治療後
治療後
 術前レントゲン
術前レントゲン
 術後レントゲン
術後レントゲン
| 主訴 | 折れている歯を眠っている間に完全無痛でインプラントをして欲しい。インプラント手術自体をいかに痛みや不安がなく治療ができる医院がないかを探していた。抜歯と同日のインプラント手術を「完璧にできる」という歯科医師に治療してもらいたいと思っている。 | 
|---|---|
| 年代・性別 | 60代 男性 | 
| 治療部位 | 左下7 | 
| 治療費用 | インプラント手術料 300,000円 | 
| 手術回数 | 2回 | 
| 治療期間 | 4ヶ月 | 
| 手術時間 | 90分 | 
| 治療回数 | 5回 | 
症例10
60代 女性 強度の肩こりと頭痛が改善
 治療前
治療前
 治療後
治療後
 治療前 上顎
治療前 上顎
 治療後 上顎
治療後 上顎
 治療前 下顎
治療前 下顎
 治療後 下顎
治療後 下顎
 治療前レントゲン
治療前レントゲン
 治療後レントゲン
治療後レントゲン
| 主訴 | 強度の肩こりと頭痛。歯科医院への通院が恥ずかしく、なかなか一歩を踏み出せなかった。奥歯も咬むことはできず、日々の生活自体も口全体のゆがみを感じていて辛い。できるならば、一刻も早く改善したい。 | 
|---|---|
| 年代・性別 | 60代 女性 | 
| 治療部位 | 上顎左側567,下顎右側6,左側456 | 
| 治療費用 | インプラント420,000円×5本 | 
| 手術回数 | 1回(※上下左右とも全て同日に手術) | 
| 治療期間 | 10ヶ月(仮歯装着までは3ヶ月/全体の治療に約6ヶ月) | 
| 手術時間 | 120分 | 
| 治療回数 | 6回(インプラントに限る) | 
症例11
50代 男性 なんでも食べられるようになりたい
 術前咬合面
術前咬合面
 術後咬合面
術後咬合面
 術後 正面
術後 正面
 術後 正面2
術後 正面2
 術前シミュレーション1
術前シミュレーション1
 術前シミュレーション2
術前シミュレーション2
 サージカルテンプレート
サージカルテンプレート
 ジルコニアフレーム12歯
ジルコニアフレーム12歯
| 主訴 | 自分が一番元気に、何でも食べられる父親でいたい。家族との食事の時間が人生ですごく大切で、何とかしたい、と思っていた。 | 
|---|---|
| 年代・性別 | 50代 男性 | 
| 治療部位 | 上顎6~6 | 
| 治療費用 | インプラント手術料  | 
| 手術回数 | 1回 | 
| 治療期間 | 4ヶ月 | 
| 手術時間 | 180分 | 
| 治療回数 | 10回 | 
症例12
30代 男性 前歯が折れてしまった。
 術前正面観
術前正面観
 術後正面観
術後正面観
 術前 レントゲン
術前 レントゲン
 術後 レントゲン
術後 レントゲン
| 主訴 | 前歯の差し歯が折れてしまい、腫れて痛みがある。できるだけ隣の歯を傷つけずに治したい。 | 
|---|---|
| 年代・性別 | 30代 男性 | 
| 治療部位 | 上顎左側 1 | 
| 治療費用 | インプラント手術料 300,000円 | 
| 手術回数 | 1回 | 
| 治療期間 | 6ヶ月 | 
| 手術時間 | 90分 | 
| 治療回数 | 4回 | 
症例13
60代 男性 入れ歯をやめて、強くしっかりと咬めるようになりたい
 術前
術前
 術後
術後
 術前 レントゲン
術前 レントゲン
 術後 レントゲン
術後 レントゲン
| 主訴 | 入れ歯を利用していたが、しっかり咬めるように治療をしていきたい。出来るだけ少ない本数で費用を抑えたいが、自分の場合、インプラントでブリッジができるのか知りたい。 | 
|---|---|
| 年代・性別 | 60代 男性 | 
| 治療費用 | インプラント手術料 300,000円×4=1200,000円 | 
| 手術回数 | 1回 | 
| 治療期間 | 3ヶ月 | 
| 手術時間 | 1時間 | 
| 治療回数 | 4回 | 
症例14
40代 男性 歯周病で前歯がグラグラ揺れて困っている。
 術前
術前
 術後
術後
 術前レントゲン
術前レントゲン
 術後レントゲン
術後レントゲン
| 主訴 | 自分の歯は果たして、いつまでもつのだろうか不安である。この際、しっかりと治療をして前歯でも咬めるようになりたい。出来れば白い歯で元気に笑いたい。 | 
|---|---|
| 年代・性別 | 40代 男性 | 
| 治療部位 | 上顎6~6 | 
| 治療費用 | インプラント手術料 300,000円×4=1,200,000円 | 
| 手術回数 | 1回 | 
| 治療期間 | 12ヶ月 | 
| 手術時間 | 120分 | 
| 治療回数 | 10回 | 
症例15
40代 女性 前歯が根元から折れてしまった。
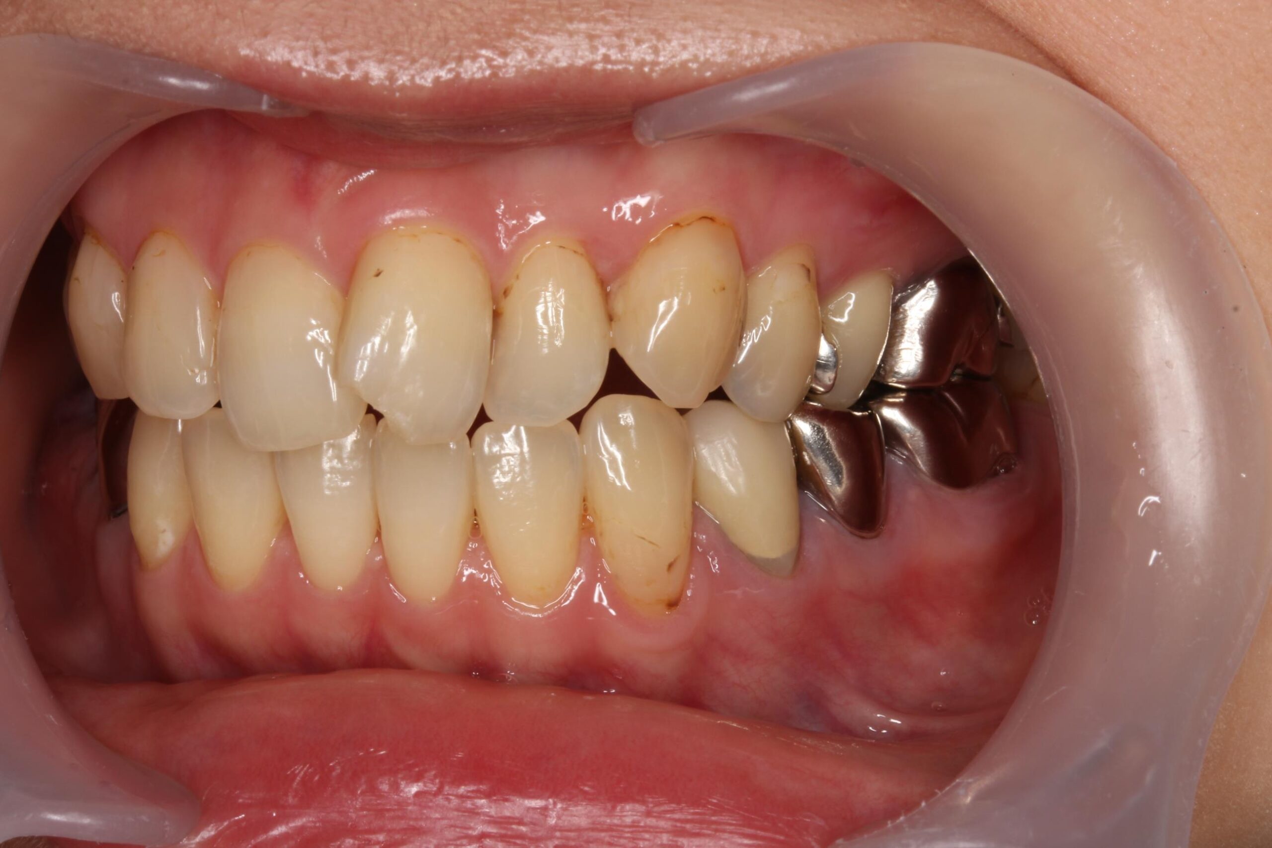
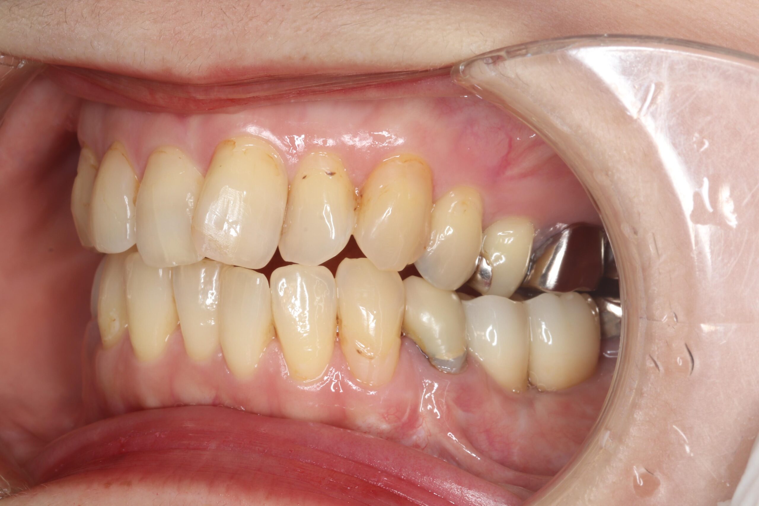
 術前
術前
 術後
術後
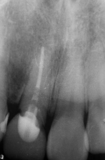
 術前レントゲン
術前レントゲン
 術後レントゲン
術後レントゲン
| 主訴 | 前歯が根元から折れてしまった。ほかの歯を削りたくないのでインプラントで治療をしてほしい。 | 
|---|---|
| 年代・性別 | 40代 女性 | 
| 治療部位 | 上顎右側1 | 
| 治療費用 | インプラント手術料 300,000円 | 
| 手術回数 | 1回 | 
| 治療期間 | 4ヶ月 | 
| 手術時間 | 90分 | 
| 治療回数 | 5回 | 
症例16
40代 女性
 術前
術前
 術後
術後
 術前
術前
 術後
術後
 術前
術前
 術後
術後
 術前レントゲン
術前レントゲン
 術後レントゲン
術後レントゲン
| 主訴 | |
|---|---|
| 年代・性別 | 40代 女性 | 
| 治療部位 | 上顎5 6 | 
| 治療費用 | インプラント手術料 300,000×2= 600,000円 | 
| 手術回数 | 1回 | 
| 治療期間 | 6ヶ月 | 
| 手術時間 | 90分 | 
| 治療回数 | 4回 | 
症例17
20代 女性 前歯の被せ物の下が虫歯になっていて抜かなきゃいけないと言われた。
 術前
術前
 術後
術後

術後 正面
 術前 レントゲン
術前 レントゲン
 術後 レントゲン
術後 レントゲン
| 主訴 | 前歯の被せ物の下が虫歯になっていて抜かなきゃいけないと言われ | 
|---|---|
| 年代・性別 | 20代 女性 | 
| 治療部位 | 上顎右上3 | 
| 治療費用 | ソケットプリザベーション 55,000円 | 
| 手術回数 | 3回 | 
| 治療期間 | 12ヶ月 | 
| 手術時間 | 90分×2回 | 
| 治療回数 | 10回 | 
 
               
     
         
                 
                